iSy® Chirurgie
Zwei Konzepte für effiziente Behandlungsverfahren
Das iSy Implantatsystem beweist in einigen Situationen sein Talent. Auf maximale Effizienz ausgelegt, deckt es einen breiten Indikationsbereich ab. iSy Implantate sind leicht konische, selbstschneidende Schraubenimplantate. Sie ermöglichen einfaches Inserieren durch Selbstzentrierung und erreichen eine solide Primärstabilität während die bewährte Promote® Oberfläche eine schnelle Osseointegration und langfristig eine stabile Knochenanlagerung gewährleistet.
Das chirurgische Vorgehen ist beim iSy Implantatsystem dank schlankem Bohrprotokoll und Einpatienten-Formbohrer hocheffizient. Der neue, gesteckte Einbringpfosten vereinfacht jetzt auch die geschlossene Einheilung. Das macht iSy zum idealen Zweitsystem – unabhängig von der Präferenz der Anwender hinsichtlich der Einheilmethode.
iSy Implantat mit vormontierter Implantatbasis
Bei der transgingivalen Einheilung ist iSy leicht und zeitsparend zu handhaben, denn iSy kommt mit allem, was Sie brauchen. Im Set sind neben den Implantaten mit vormontierter Implantatbasis ein Einpatienten-Formbohrer, Gingivaformer und Multifunktionskappen enthalten. Durch Klicken wird sowohl der Gingivaformer als auch die Multifunktionskappe sowie die temporäre Versorgung direkt auf der Implantatbasis rotationsgesichert platziert. Klicken statt Schrauben – spart Zeit im Behandlungsabflauf.
Neu: iSy Implantat, snap-in, mit gestecktem Einbringpfosten
Die gedeckte Einheilung ist in manchen klinischen Situationen unabdingbar. Mit einem gestecktem Einbringpfosten, einer Metallverschlussschraube und einem Einpatienten-Formbohrer in einer Verpackung bleibt sich iSy auch mit seinem Konzept für die gedeckte Einheilung im Sinne der Effizienz treu. Dank des gesteckten Einbringpfostens entfällt auch hier nach der Implantatinsertion das Lösen einer Schraube.
iSy Chirurgie-Set
Das neue übersichtliche iSy Chirurgie-Set bietet Platz für die wichtigsten Instrumente, um iSy Implantate zu inserieren und prothetisch zu versorgen.

Gingivaformer für das iSy Implantatsystem

Die iSy Gingivaformer liegen auf der maschinierten Implantatschulter auf, bedecken diese jedoch nicht vollständig. Somit kann eine Adaption von Weichgewebe über die Schulter erzielt werden. Die Gingivaformer sind in vier Durchmessern (XS, S, M, L) und drei Gingivahöhen erhältlich und werden direkt ins Implantat geschraubt.
iSy Fallpublikationen
Die klinische Performance des Systems steht außer Frage und ist Gegenstand vieler klinischer Fallstudien und Dokumentationen – überzeugen Sie sich selbst.
Die vergangenen Jahre haben in unserem Arbeitsfeld eine Unzahl an neuen Ideen entstehen lassen, viele etablierte Systeme werden anhand eines sich ändernden Bewusstseins für Ökonomie, Wissenschaft und Innovation auf den Prüfstand gestellt. Innovationen sollen dabei vor allem der Verbesserung dienen, Altbewährtes kristallisiert sich im Zuge dieser Bewegung heraus, Überschüssiges wird reduziert. Innovation und Einschränkung stellen einen Widerspruch in sich dar, auch bei der Arbeit soll ein Werkzeug dazu dienen, kreativ und frei zu arbeiten, es sollte nutzbar sein, um seine eigenen Ideen umzusetzen. Seit der Einführung hat sich das iSy System in unserer Abteilung mehr und mehr etabliert – vor allem weil es dem Behandler wie auch dem Patienten Freiheiten verschafft. Es wäre kurzsichtig, das iSy System als günstige Alternative für eingeschränkte Indikation zu bezeichnen. Bietet es doch vor allem im Kleinen große Möglichkeiten, die erst auf den zweiten Blick ins Auge fallen. Kleinigkeiten, welche manchmal den entscheidenden Unterschied machen und in vielen Facetten sogar einzigartig sind. Bei dem iSy Implantatsystem handelt es sich nicht nur um eine günstige Alternative, sondern um ein System mit enormem Potential für die Praxis, mit dem man frei und gestalterisch arbeiten kann. Auch wenn der vorliegende Fall nicht die große Chirurgie darstellt, spiegelt er doch einen Hauptteil der alltäglichen Indikationen einer Vielzahl von Implantologie begeisterten Kollegen wider.
Auch wenn in der Zahnmedizin in den vergangenen Jahren mithilfe der digitalen Technologien immense Fortschritte erreicht wurden, gilt es bei Standardfällen beziehungsweise Low-Risk-Fällen abzuwägen, ob die Implantatbehandlung ohne zusätzliche Mehrkosten auch im analogen Verfahren schnell, zuverlässig und kostengünstig zu realisieren ist. Sofortversorgungskonzepte werden in unserer Praxis zunehmend angefragt. Dabei geht es schon lange nicht mehr um Versorgungen des unbezahnten Kiefers im Sinne des All-on-Four-Konzepts, sondern überwiegend um die Einzelzahn- oder Brückenrekonstruktion. Die Implantation kann von einem erfahrenen Chirurgen nach korrekter Indikationsstellung und einer Röntgendiagnostik sowie einer Risikoabwägung auch ohne weitere digitalen Hilfsmittel durchgeführt werden. Die Implantation erfolgt im „Freihand-Verfahren“ und die Provisorien können ähnlich einer Kronen- oder Brückenversorgung chairside günstig erstellt werden. Tagtäglich werden kleine Handgriffe am Behandlungsstuhl durchgeführt, wie die Abformung für die Planung oder für ein Provisorium – häufig ein ungenutztes Honorarpotential im Praxisalltag. Die iSy Komponenten, der Gingivaformer oder die Multifunktionskappe und eine prächirurgisch erstellte Tiefziehschiene über einem Mock-up, sind die Arbeitsgrundlage für die Herstellung eines Chairside-Provisoriums, das auf der Implantatbasis befestigt wird und über die zahnärztliche Honorarleistung abgerechnet werden kann.
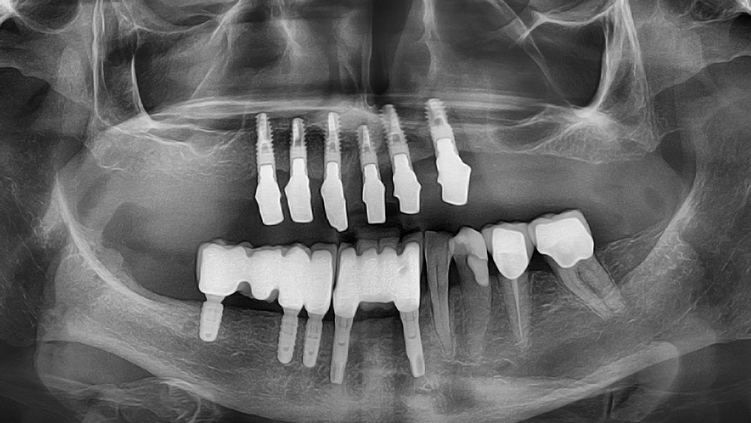
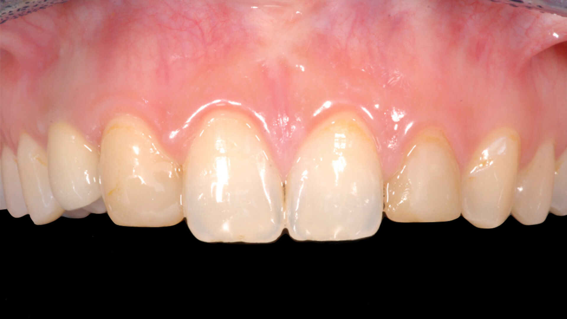
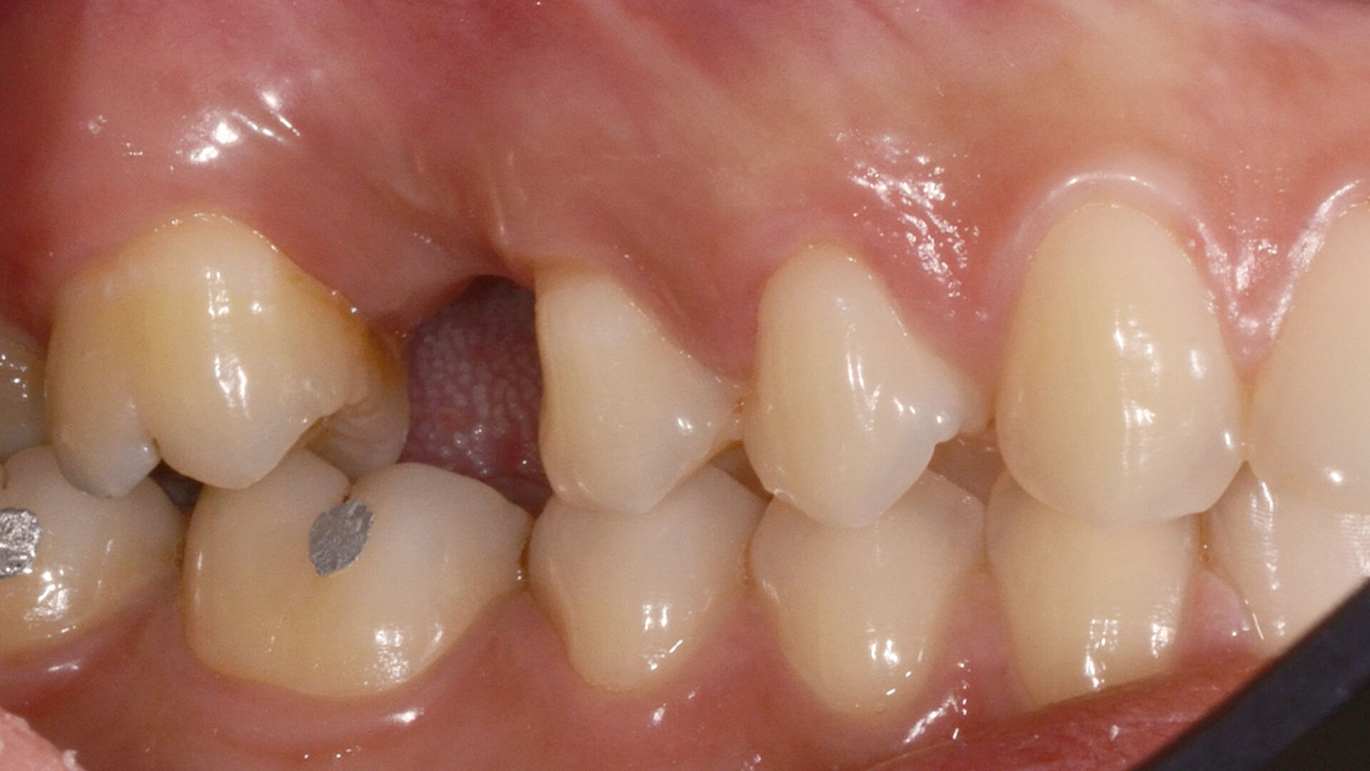
Die transgingivale Einheilung dentaler Implantate ist ein wissenschaftlich gut untersuchtes und klinisch erfolgreiches Verfahren. Für die transgingivale Einheilung sollten die Implantate primärstabil inseriert werden, nur kleine Hartgewebeaugmentationen notwendig sein und ausreichend stabiles Weichgewebe vorliegen. Um in Fällen mit Augmentationsbedarf das iSy Implantatsystem verwenden zu können – ohne die Implantatbasis demontieren zu müssen – bietet das iSy System Implantate mit gestecktem Einbringpfosten an. Nach gedeckter Einheilung und Freilegung des Implantats können drei verschieden breite Gingivaformer eingebracht und im Anschluss sowohl eine digitale als auch konventionelle Abformung durchgeführt werden. Die entsprechenden Abformpfosten und Esthomic Abutments gibt es ebenfalls in drei verschiedenen Emergenzprofilen, welche formkongruent zu den Gingivaformern sind. Im folgenden Fall wurde ein geringes bukkales Knochendefizit mit einem Gemisch aus Eigenknochen und PRF (Plättchenreiches Fibrin) augmentiert und das Weichgewebedefizit mit einer azellulären dermalen Matrix (NovoMatrix/ BioHorizons) aufgebaut.
Nicht nur die korrekte dreidimensionale Positionierung der Implantate, sondern auch das Know-how der Knochenaugmentation und die entsprechende Manipulation des Weichgewebes sind essenziell für den Erfolg. Die Kieferknochenrekonstruktion mit autologen Knochenblöcken, die nach der Beschreibung von Prof. Dr. F. Khoury ausgedünnt werden, sowie das Auffüllen der entstandenen Hohlräume mit autologen Knochenspänen führen zu einem vorhersagbaren, langzeitstabilen laminären Knochen. Auch das Implantatdesign mit der parallelwandigen Schulter sowie das Platform-Switching tragen maßgeblich zur erfolgreichen Rekonstruktion bei. Ein weiterer Vorteil des iSy Implantatkonzepts ist die Implantatbasis. Bei transgingivaler Einheilung verbleibt sie bis zur endgültigen Versorgung auf dem Implantat. Die Manipulation des Weichgewebes durch häufigen Abutmentwechsel hat laut Studien einen beachtlichen Anteil an Knochen- und Weichgewebsveränderungen. Auch bei gedeckter Einheilung werden ab dem Zeitpunkt der Freilegung mithilfe der Implantatbasis Abutmentwechsel minimiert.
Reduzierte Konzepte, die auf digitale Lösungen (Dental 4.0) in der chirurgischen und prothetischen Behandlung setzen und daher mit wenigen Komponenten auskommen, verkürzen nicht nur die Stuhlzeiten des Behandlers, sondern machen den implantatgetragenen Zahnersatz für die breite Masse bezahlbar. Bei Standardsituationen – sprich bei 80 Prozent der Fälle – sind digitale Konzepte nicht zu toppen. Patienten, denen in der Praxis in der Vergangenheit eine analoge konventionelle Kronen-Brücken-Versorgung empfohlen wurde, kann man heute im digitalen Praxiskonzept mit dem iSy Implantatsystem eine deutlich preiswertere implantatgetragene und damit höherwertige Versorgung anbieten. Die Indikationsbreite wird durch abgespeckte, straffe Implantatkonzepte zwar nicht größer, aber man kann deutlich mehr Patienten erreichen. In der Praxis gestaltet sich das Aufklärungsgespräch patientengerecht. Auf dem Behandlungsstuhl sieht der Patient, wie es um seinen Knochen steht und erlebt virtuell die Implantatplanung mit, die auf Basis der generierten Daten, wie Intraoralscan und DVT Aufnahmen, erfolgt. Wie die Umsetzung des iSy Konzepts in der Kombination mit den digitalen Technologien von der Planung über die OP bis zur Provisoriumsherstellung die Effizienz steigert, wird im folgenden Beitrag vorgestellt.
Für den langfristigen Erhalt einer Implantatversorgung müssen unterschiedliche Entscheidungsfaktoren gegeneinander abgewogen werden. So spielen die anatomischen Voraussetzungen eine ebenso große Rolle wie die Wahl der prothetischen Versorgung. Doch auch die Wünsche der Patienten in Bezug auf Ästhetik und Funktion ihres späteren Zahnersatzes in Abhängigkeit ihres zur Verfügung stehenden Budgets gilt es zu berücksichtigen. Nach Abwägung all dieser Kriterien muss die Entscheidung für den richtigen Implantationszeitpunkt gewählt werden. Trotz des Trends zu Sofortversorgungsprotokollen ist die Spätimplantation im Seitenzahnbereich das risikoärmste Implantationsverfahren in Bezug auf den Zeitpunkt des Eingriffs, denn der Kieferknochen bekommt Zeit, um nach dem Zahnverlust auszuheilen und die Alveole mit Knochengewebe zu durchsetzen. Falls eine Socket Preservation oder aufgrund eines defizitären Kieferknochens eine umfassende Augmentation nach der Extraktion erforderlich sind, kann sich die durchschnittliche initiale Heilungsphase von zirka drei Monaten auf sechs oder mehr Monate verlängern. Nach erfolgter Regeneration des Kieferknochens und des Weichgewebes sind die besten Voraussetzungen für eine komplikationslose Implantation geschaffen.
Ein teilweiser Zahnverlust im Seitenzahnbereich kann zu erheblichen funktionellen Defiziten führen, insbesondere bei jungen Patienten kann er auch ästhetische Probleme verursachen. Störungen des Kiefergelenks (TMJ) treten vor allem dann auf, wenn der Verlust der vertikalen Dimension und die Zahnwanderung nicht frühzeitig behandelt werden. Die Pneumatisierung der Kieferhöhle und der vertikale Knochenabbau im Seitenzahnbereich werden hauptsächlich durch eine nicht behandelte partielle Zahnfehlstellung im Seitenzahnbereich verursacht. In Fällen, in denen die Menge an krestalem Restknochen sehr gering ist, kann die Möglichkeit, den nativen krestalen Knochen auch nach der Knochenregeneration zu erhalten, entscheidend für die langfristige Stabilität der Implantatbefestigung sein. Unter anderem können die Implantatgeometrie und die prothetische Verbindung die Möglichkeit einer krestalen Knochenresorption im Laufe der Zeit beeinflussen. Unter diesem Aspekt bieten die iSy Implantate dank der Geometrie des nicht konisch zulaufenden Implantathalses und der konischen prothetischen Verbindung verbesserte Eigenschaften, die einen langfristigen Erhalt des marginalen Knochens ermöglichen.
Obwohl der Bedarf der Patienten nach einer Implantatversorgung längst nicht gedeckt ist, ist in der Literatur eine gewisse Stagnation hinsichtlich der durchgeführten Implantatversorgungen festzustellen. Eine deutschlandweite Online-Umfrage bestätigte, dass die Zahl der entfernten Zähne die der gesetzten Implantate um mehr als den Faktor 10 übersteigt. Es besteht also ein offensichtliches Missverhältnis zwischen Patientenbedarf auf der einen und durchgeführten Implantatversorgungen auf der anderen Seite. Dies hat unterschiedliche Gründe; von subjektiven Vorbehalten der Patienten gegen Implantate über zum Teil notwendige anspruchsvolle chirurgische Eingriffe bis hin zu monetären Aspekten. Aus Patientensicht sollte daher ein modernes Implantatsystem in erster Linie wirtschaftlich sein, ohne dabei Abstriche an Qualität, Langzeitstabilität und Anwendungssicherheit hinnehmen zu müssen. Aus Anwendersicht sind darüber hinaus Aspekte wie „Workflow“, „Effizienz“ und „Einfachheit“ entscheidend, da im Praxisalltag die Zeiteffizienz die Frage der Wirtschaftlichkeit einer Behandlung ganz wesentlich beeinflusst. Nur wenn ein System zeiteffizient in der Anwendung am Patienten ist und die Anzahl und Dauer der Behandlungssitzungen verschlankt werden kann, bietet ein System über den reinen Materialpreis der Einzelkomponenten einen wirtschaftlichen Mehrwert, der für eine kosteneffiziente Behandlungsweise entscheidend sein kann.

























































































